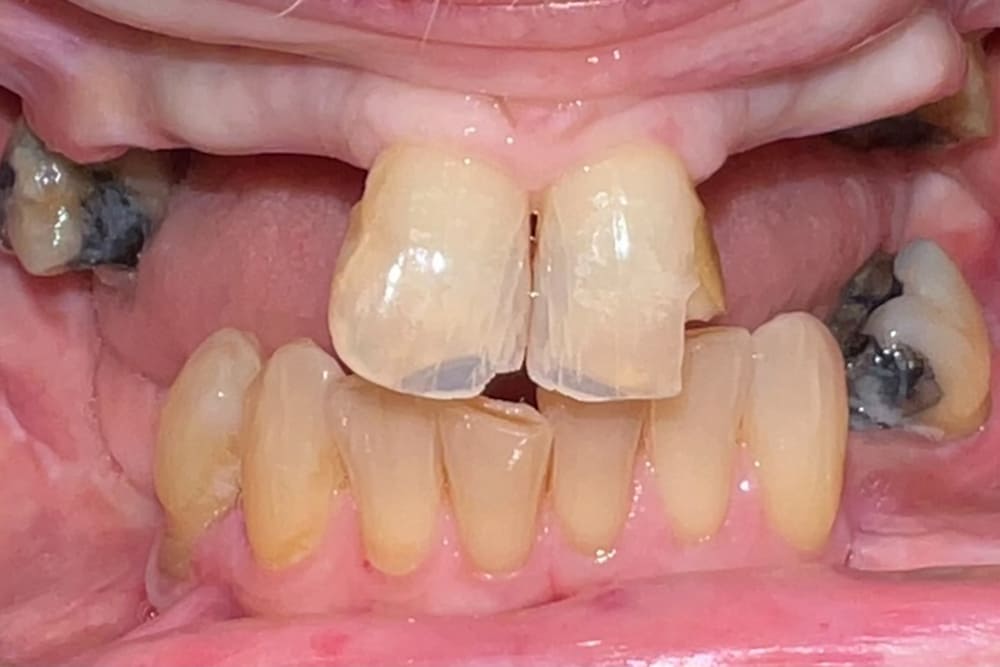
Request an appointment at Crooked Oak Dental Associates today!
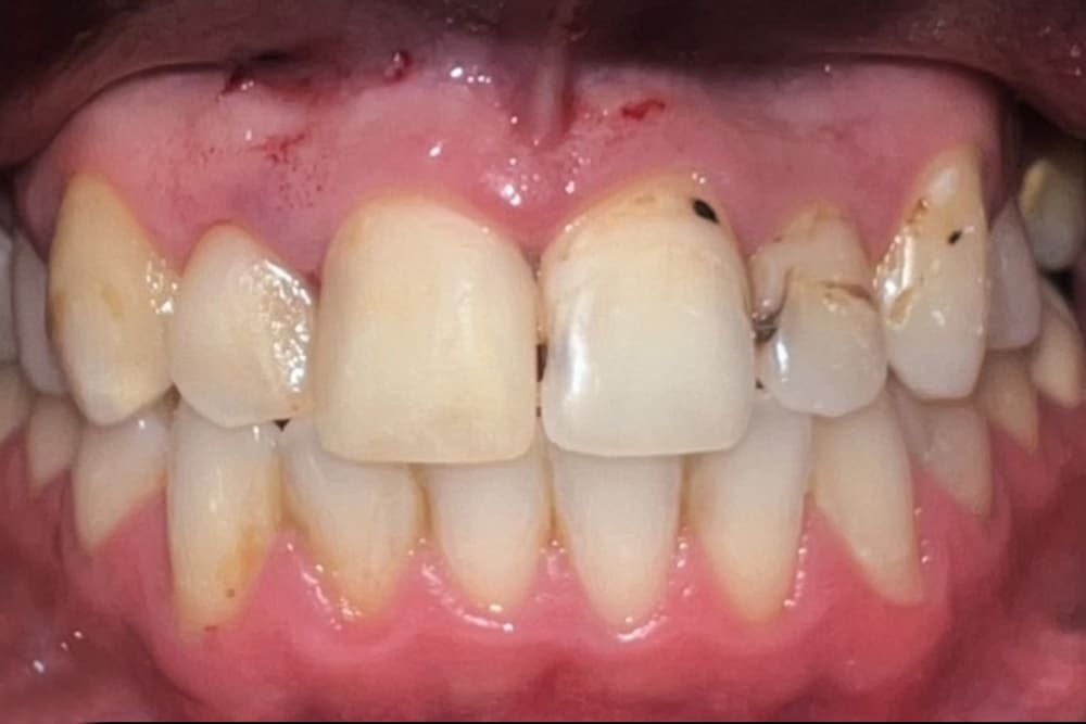
Request an appointment at Crooked Oak Dental Associates today!
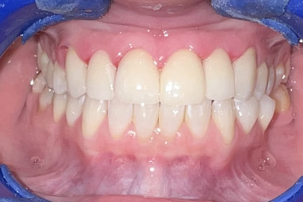
Request an appointment at Crooked Oak Dental Associates today!
600 D Eden Rd
Lancaster, Pa 17601
85 Commerce Drive
Wyomissing, PA 19610
72 West Lancaster Avenue
Downingtown PA 19335
1670 Lincoln Highway East
Lancaster, PA 17602